入れ歯を入れている患者さんの悩みの多くは、「入れ歯が痛い」「外れやすい」「ちゃんと噛めない」というものです。
抜けてしまった歯を補うために入れ歯を入れているのに、歯として機能していないのは大きな問題です。体のどこかにいつも違和感や痛みがある状態というの は、本人が自覚している以上にストレスになっています。ましてや、毎日の楽しみであるはずの食事がおいしく食べられないというのは、本当につらいことだと 思います。
入れ歯を入れてから、なんだかイライラするようになったり、笑わなくなった…という話をよく聞きます。「入れ歯は、痛くて外れやすくてちゃんと噛めないのが当たり前」ではありません。きちんと原因を取り除いて、快適な生活を取り戻してほしいと願っています。
部分入れ歯
数本の歯が抜けてしまったときに、残っている歯に「クラスプ」という金属のバネを引っかけて、歯を補う方法が保険治療の部分入れ歯です。歯は左右から揺さ ぶられる力に弱いので、バネを引っかけられている歯にかかる負担が大きくなり、その歯もいずれ抜けやすくなってしまいます。
歯が抜けてしまえば、また新たに部分入れ歯を作り直さなくてはいけませんし、年をとるに従ってあごの骨がやせてきますから、定期的に調整していく必要もあります。引っかける歯がなくなってしまえば、総入れ歯になってしまいます。
また、保険の部分入れ歯は噛む能力が天然の歯の30%程度と言われ、食事を以前のように楽しめないとおっしゃる患者さん、金属のバネがかなり目立ちますので、その点を嫌がる患者さんも多くいらっしゃいます。
保険の部分入れ歯よりはしっかり噛める保険外(自費)の部分入れ歯や、クラスプの部分が目立たない保険外(自費)の部分入れ歯もあります。しかし、 歯科医として「今ある歯をいかに残すか」という点で考えると、抜けてしまった歯を単体で補えるインプラントの方が、患者さんの精神的な負担が軽く済み、長 く快適に生活できるのではないかと思います。
総入れ歯
歯がとうとう一本もなくなってしまったら、総入れ歯を入れることになります。保険治療の場合は、プラスチック製の総入れ歯しかありませんが、保険外(自 費)の総入れ歯にはいろいろなタイプがあります。あごの骨の状態が良ければ、インプラント治療や、インプラント義歯(入れ歯)治療ができる場合もありま す。
保険のプラスチック製の入れ歯は、違和感が強かったり、しゃべりにくい、食べにくい、外れやすいと言われています。噛む能力は天然の歯の20%くらいで、かたいものはほとんど食べられないという方が多いです。
見た目の美しさ
噛むという、歯本来の機能の他に、見た目の美しさにもこだわる患者さんが最近では増えてきました。きちんと噛めて、見た目もきれいでいようとする患者さんは、確かに心身ともに若い印象があります。
入れ歯が気になって笑えない、友達と旅行や食事に行くのがおっくう、いつも違和感があってつらい――など、人には言いづらい悩みをあなたも抱えているかもしれません。
保険の治療では限界がありますが、保険外(自費)の治療であれば、機能性が高く、見た目も自然できれいな入れ歯を作ることができます。
残った歯を守るために
入れ歯を入れることになった今、残った歯や歯ぐきをどう守るかが大切です。
歯が抜けてしまったのには、必ず原因があります。抜けてしまった歯のところに入れ歯を入れてそれで終わり、ではなく、歯が抜けた原因を見つけて、それを解 消しましょう。そうでないと、また歯が抜けてしまったり、歯ぐきや骨の状態が悪くなって、将来もっと苦労することになってしまいます。
原因を取り除いた後は、きちんとメンテナンスをしてと定期検診を受けて、口の中を清潔な状態に保ってください。抜けてしまった歯を教訓に、もう歯が抜けてしまうことがないように、歯ぐきや骨をできるだけ健康に保つように、一緒に努力していきましょう。
私があなたのためにできるのは、歯科治療を通して健康なお口の環境を作り上げることです。あなたの努力と私の歯科治療によって、あなたが何かを我慢したりあきらめたりすることなく、快適で楽しい生活が送れる用に願っています。
入れ歯治療の実際
薄く食感にすぐれた金属製や、汚れのつきにくい特殊なプラスチックで制作します。
満足するまでお付き合いします。
¥400,000(税別)~¥1,000,000(税別)
使用する金属により値段が変わる
![]() |
![]() |
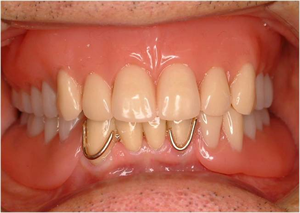
| 術前(保険) | 術後(チタン義歯) |
![]() |
![]() |
| 術前(保険) | 術後(チタン義歯) |


義歯でも良いものは自然な口元
![]() |
![]() |
| 術前 | 義歯プラスセラミック(下前歯) |
![]() |
![]() |
| 術前 | 義歯プラスセラミック(下前歯) |

























